A woman with long hair is smiling at the camera, standing outdoors during daylight.

Smile Gallery

The image shows a close-up of a person s mouth with yellowish teeth, some of which are missing, and a partial denture on the upper right side.

Before

The image shows a close-up of a person s smile with white teeth and pink gums, set against a blurred background.

After

The image features a close-up view of a person s teeth with noticeable yellowing and staining, showcasing a dental issue such as discoloration or poor oral hygiene.

Before

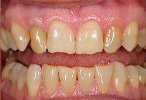
The image shows a close-up of an open mouth with teeth stained yellow, likely due to nicotine or other discoloring agents, against a pinkish background that suggests the interior of a dental office.

After

The image shows a close-up of a person s face featuring a smile with teeth, and there is a noticeable gap between the upper front teeth.

Before

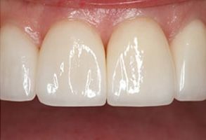
The image shows a close-up of a person s mouth with a wide smile, displaying white teeth and pink gums.

After

The image shows a close-up view of a person s teeth with a focus on a dental implant, showcasing the process of oral surgery or implantation.

Before

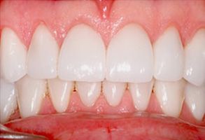
The image shows a close-up of a person s mouth with white teeth and a visible lip line.

After

The image shows a close-up view of a person s teeth with visible staining and discoloration, suggesting poor oral hygiene or the need for dental treatment.

Before

The image shows a close-up view of a person s teeth with visible enamel wear and discoloration, highlighting dental health concerns.

After

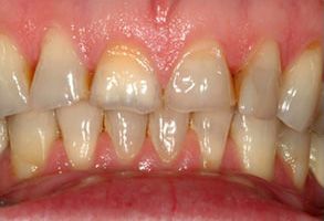
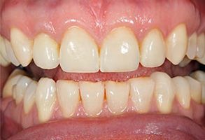
The image shows a close-up view of a person s teeth with some yellowing and staining, suggesting dental issues such as discoloration or poor oral hygiene.

Before

The image displays a close-up view of a person s teeth with a focus on the lower front teeth, showcasing a smile with white fillings and natural enamel.

After

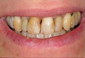
The image shows a person s teeth with visible discoloration and decay, particularly in the front area where some teeth appear to be missing or broken.

Before

The image shows a close-up view of a person s teeth, which appear white with some yellowing, suggesting a smile with an open mouth.

After

The image shows a blurry interior space with indistinct objects, including what appears to be a table and possibly some books or papers, suggesting a study or office environment.

44356 Cherry Hill Road, Canton, MI 48187

(734) 981-5050